"Mắt điện tử" giúp khôi phục thị lực của người mù
Một thiết bị cấy ghép mắt điện tử đã khôi phục thị lực cho những người bị mù do bệnh thoái hóa điểm vàng bởi tuổi tác.

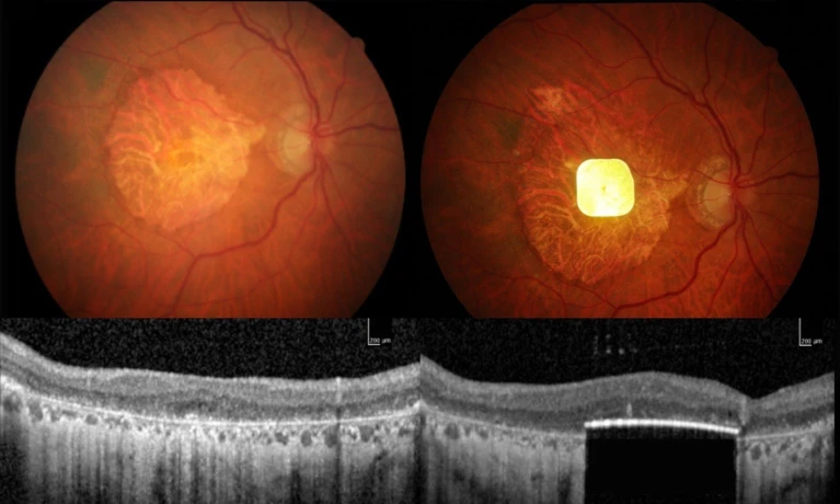
Các nhà khoa học đã cấy ghép một thiết bị siêu nhỏ chỉ 2×2 mm, dày 30 micromet dưới võng mạc để phục hồi thị lực cho người bị thoái hóa điểm vàng (AMD) có thể đọc sách trở lại. Thiết bị chỉ 2×2 mm, dày 30 micromet, thay thế các tế bào nhạy sáng bị tổn thương.
Theo nghiên cứu đăng trên Tạp chí Y học New England, trong 38 bệnh nhân AMD giai đoạn nặng, 80% cải thiện thị lực rõ rệt sau một năm cấy ghép.
“Tại những vùng võng mạc đã chết và trở thành điểm mù, thị lực đã được khôi phục”, ông Frank Holz, bác sĩ nhãn khoa tại Đại học Bonn (Đức) và trưởng nhóm nghiên cứu, cho biết. “Bệnh nhân có thể đọc chữ, nhận diện từ và sinh hoạt bình thường trở lại”.
Dù xuất hiện một số biến chứng nhỏ sau phẫu thuật, hội đồng giám sát an toàn kết luận rằng lợi ích của thiết bị vượt trội so với rủi ro.
Vào tháng 6, Science Corporation - công ty công nghệ thần kinh có trụ sở tại San Francisco, đã nộp đơn xin chứng nhận để phân phối thiết bị tại châu Âu.
Bà Francesca Cordeiro, bác sĩ nhãn khoa tại Đại học Hoàng gia London, nhận xét: “Đây là một nghiên cứu được thiết kế bài bản và mang ý nghĩa quan trọng, mở ra hy vọng phục hồi thị lực cho những bệnh nhân mà trước đây điều đó chỉ thuộc về khoa học viễn tưởng”.
Tìm lại ánh sáng
AMD là dạng mù lòa không thể chữa khỏi phổ biến nhất ở người lớn tuổi. Có hai loại chính là AMD thể ướt và thể khô. Công trình này tập trung vào những người mắc AMD thể khô, dạng tiến triển của bệnh ảnh hưởng đến khoảng 5 triệu người trên toàn cầu.
Ở bệnh nhân mắc AMD thể khô, các tế bào nhạy sáng ở trung tâm võng mạc sẽ chết dần trong nhiều năm, khiến họ vẫn còn thị lực ngoại vi nhưng mất đi thị lực trung tâm có độ sắc nét cao. “Họ không thể nhận diện khuôn mặt, không thể đọc, không thể lái xe, cũng không thể xem tivi”, ông Holz giải thích.
Các tế bào nhạy sáng, gồm tế bào que và tế bào nón, vốn có nhiệm vụ chuyển ánh sáng thành tín hiệu điện gửi đến não bị chết đi, nhưng các nơ-ron võng mạc vẫn còn hoạt động sau khi mắc AMD. Điều này gợi ý rằng một thiết bị cấy ghép nhạy sáng có thể khôi phục thị giác bằng cách kích thích võng mạc bằng tín hiệu điện mô phỏng ánh sáng tự nhiên.
Thiết bị cấy ghép, có tên là PRIMA (viết tắt của cụm từ cấy ghép võng mạc quang điện), ban đầu được phát triển bởi công ty Pixium Vision tại Paris và đã được Science Corporation mua lại vào năm ngoái. Không giống như các thiết bị võng mạc trước đây, PRIMA hoạt động hoàn toàn không dây.
Thêm vào đó, vì hoạt động bằng quang điện, chính các photon ánh sáng không chỉ kích hoạt thiết bị mà còn cung cấp năng lượng để nó tạo ra tín hiệu điện.
Thiết bị này được sử dụng kết hợp với một cặp kính đặc biệt có gắn camera. Camera sẽ ghi lại hình ảnh, chuyển đổi chúng thành các mẫu ánh sáng hồng ngoại và truyền đến thiết bị cấy ghép trong võng mạc.
Ông Holz cho biết, hệ thống cho phép người dùng phóng to, thu nhỏ và điều chỉnh độ tương phản. Tuy nhiên, để sử dụng một cách tối ưu, bệnh nhân cần phải trải qua nhiều tháng huấn luyện chuyên sâu.
Trong nghiên cứu lần này, 38 bệnh nhân đã được điều trị tại 17 trung tâm lâm sàng trên khắp 5 quốc gia châu Âu và 32 người trong số họ đã được kiểm tra lại sau một năm cấy ghép.
Kết quả cho thấy 26 người đã có sự cải thiện thị lực đáng kể, trung bình tương đương với việc có thể đọc thêm được hai dòng trên bảng thị lực tiêu chuẩn. Nhìn chung, thị lực của hầu hết người tham gia đã tiến gần đến độ phân giải tối đa mà thiết bị PRIMA có thể đạt được.
Đến cuối giai đoạn nghiên cứu, hầu hết bệnh nhân đã có thể sử dụng thiết bị PRIMA tại nhà để đọc chữ cái, từ và số. Về mức độ hài lòng, 22 trong số 32 người tham gia cho biết họ cảm thấy từ trung bình đến hài lòng cao.
Tuy nhiên, một bảng câu hỏi về chất lượng cuộc sống hàng ngày của người dùng lại không cho thấy sự cải thiện tổng thể nào đáng kể.
Trao đổi với Nature, một chuyên gia về thoái hóa võng mạc bày tỏ lo ngại rằng việc huấn luyện thị giác chuyên sâu và hiệu ứng tâm lý khi nhận một thiết bị y học tiên tiến có thể đã góp phần tạo ra kết quả tích cực. Ông cho rằng nghiên cứu sẽ thuyết phục hơn nếu có nhóm đối chứng ngẫu nhiên, gồm những người được huấn luyện tương tự nhưng không được cấy ghép thiết bị.
Ông Holz cũng thừa nhận rằng hệ thống hiện tại có những hạn chế và kỳ vọng các thiết bị cấy ghép trong tương lai sẽ hiệu quả hơn. "Với bước đột phá lớn đầu tiên này, đây là một điểm khởi đầu cho những cải tiến xa hơn", ông nói.
Một mối lo ngại khác là độ sắc nét tối đa mà thiết bị có thể đạt được. PRIMA chỉ có 381 điểm ảnh, cung cấp hình ảnh đen trắng và khiến việc đọc của người dùng “không nhanh và trôi chảy,” theo ông Holz. Tuy vậy, nhà vật lý Daniel Palanker, người thiết kế thiết bị, đang phát triển phiên bản thế hệ tiếp theo với nhiều điểm ảnh hơn và kích thước nhỏ hơn, hứa hẹn thị lực sắc nét, thậm chí có màu.
Dù được thử nghiệm trên bệnh nhân mắc AMD, thiết bị này cũng có thể hữu ích cho các bệnh lý khác có chung đặc điểm tế bào cảm quang chết nhưng nơ-ron võng mạc còn hoạt động, như viêm võng mạc sắc tố.
Tuy nhiên, cấy ghép võng mạc không phải là hướng duy nhất. Các nhóm nghiên cứu khác đang phát triển liệu pháp tế bào gốc để tái tạo tế bào cảm quang, liệu pháp quang di truyền - đưa protein nhạy sáng vào tế bào võng mạc còn lại và các thiết bị cấy ghép trực tiếp vào vỏ não thị giác.
“Đây là một lĩnh vực cực kỳ năng động, với nhiều hướng tiếp cận khác nhau và chưa ai biết đâu sẽ là lời giải cuối cùng”, ông Holz nói./.
