Tạp chí KH&CN Việt Nam
  • Tìm kiếm
  • Gửi bài
  • Giới thiệu
    • Quá trình xây dựng và trưởng thành
    • Chức năng, nhiệm vụ, quyền hạn và cơ cấu tổ chức
    • Các thế hệ lãnh đạo
    • Cán bộ đương nhiệm
  • Tạp chí in
    • Bản A
    • Bản B
    • Bản C (Vietnam Journal of Science, Technology and Engineering)
    • Bản D (VMOST Journal of Social Sciences and Humanities)
    • Chuyên san CNTT-TT
    • Chuyên san Chính sách và Quản lý KH&CN
    • Tạp chí TT&TT (trước hợp nhất)
  • Diễn đàn
    • Chính sách và quản lý
    • Ý kiến chuyên gia
    • Xu hướng - Dự báo
  • KH&CN địa phương
  • Đổi mới sáng tạo
  • Chuyển đổi số
  • Media
  • Truyền thông
  • Chuyên đề
    • Make in Viet Nam
  • EN-VJST
  • Giới thiệu
    • Quá trình xây dựng và trưởng thành
    • Chức năng, nhiệm vụ, quyền hạn và cơ cấu tổ chức
    • Các thế hệ lãnh đạo
    • Cán bộ đương nhiệm
  • Tạp chí in
    • Bản A
    • Bản B
    • Bản C (Vietnam Journal of Science, Technology and Engineering)
    • Bản D (VMOST Journal of Social Sciences and Humanities)
    • Chuyên san CNTT-TT
    • Chuyên san Chính sách và Quản lý KH&CN
    • Tạp chí TT&TT (trước hợp nhất)
  • Diễn đàn
    • Chính sách và quản lý
    • Ý kiến chuyên gia
    • Xu hướng - Dự báo
  • Khoa học - Công nghệ
    • Năng lượng nguyên tử - An toàn bức xạ hạt nhân
    • Sở hữu trí tuệ
    • Tiêu chuẩn đo lường chất lượng
    • Bưu chính - Viễn thông
    • KH&CN địa phương
    • KH&CN nước ngoài
    • Khoa học đời sống
  • Đổi mới sáng tạo
  • Chuyển đổi số
  • Media
  • Truyền thông
  • Chuyên đề
    • Make in Viet Nam
  • EN-VJST
  • Tiêu điểm
  • Gửi bài
  • Video ngắn
  • VJST

khôi phục thị lực

Cập nhập tin tức khôi phục thị lực
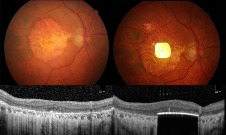
‏"Mắt điện tử" giúp khôi phục thị lực của người mù‏

‏"Mắt điện tử" giúp khôi phục thị lực của người mù‏

‏Một thiết bị cấy ghép mắt điện tử đã khôi phục thị lực cho những người bị mù do bệnh thoái hóa điểm vàng bởi tuổi tác.‏
Nổi bật 48 giờ
  • Đăng nhập
  • Tạo tài khoản
  • Lấy lại mật khẩu
Lấy lại mật khẩu
  • Google
  • Facebook
  • Apple
  • Google
  • Facebook
  • Apple
Khi bấm tạo tài khoản bạn đã đồng ý với quy định của tòa soạn
  • Đổi mật khẩu tài khoản

Đổi mật khẩu tài khoản của bạn

Bạn vui lòng nhập mật khẩu cũ và mật khẩu mới để hoàn tất

  • Đổi ảnh đại diện

Đổi ảnh đại diện

Bạn vui lòng chọn ảnh dung lượng không quá 300kb, kích thước không quá 500px

handle_cert
Bản đồ
Thông tin liên hệ

© 2019 Bản quyền thuộc về TẠP CHÍ KHOA HỌC VÀ CÔNG NGHỆ VIỆT NAM

Liên hệ tòa soạn: Tầng 5, số 115 Trần Duy Hưng, Phường Yên Hoà, Hà Nội

Tel: +84 24 39436793 - Fax: +84 24 39436794 - Email: [email protected]

Giấy phép số 459/GP-BTTTT ngày 20/7/2021; số 50/GP-BTTTT ngày 01/02/2023 do Bộ Thông tin và Truyền thông cấp

Tổng Biên tập: TS Nguyễn Thị Hương Giang